Category Archives: Carolina Dental Arts Blog
How Important Is Dental Floss for My Oral Health?
How Important Is Dental Floss for My Oral Health? According to a recent survey by [...]
A Premier Dental Team in NC Offers 14 Expert Tips to Help Prevent Cavities
Proper dental care is important for staying healthy and keeping your teeth strong and free [...]
Why Glo Whitening with Opalescence Gel is One of the Most Effective Options for a Bright Smile
Today, we have many options when choosing a whitening treatment for teeth. According to the U.S. [...]
Are You Missing Teeth? 4 Options That Can Help You Enjoy a Full Smile Again!
Are You Missing Teeth? If you find yourself in the uncomfortable situation of missing teeth, [...]
Why Regular Dental Cleanings Help with Gum Health
To have optimum oral health, routine dental cleanings are essential. Many people might think that dental cleanings [...]
The Importance of Teaching Children All About Dental Health
Teaching Children All About Dental Health Establishing solid dental hygiene habits during childhood builds a [...]
Why Choose Invisalign to Straighten Teeth
When your teeth are not as straight as you would like, there are convenient options [...]
Say Goodbye to Bad Breath: Effective Solutions from Carolina Dental Arts
Say Goodbye to Bad Breath Do you suffer from bad breath that just won’t go [...]
How to Develop Good Oral Hygiene Habits With the Help of Carolina Dental Arts
It is no secret that oral hygiene is a key component of good dental health. Most [...]
Cosmetic Dentistry: Everything Big You Need To Know
Cosmetic dentistry is part of the branch known as restorative dentistry. It is an aesthetic amplification [...]
How to Tell If You Have a Cavity: Understanding the Warnings Signs
How to Tell If You Have a Cavity Cavities are very common, in fact, it [...]
The Big Benefits of Fluoride Treatments
Fluoride Can Improve Your Dental Health Fluoride has been known in the dental community as [...]
How to Overcome Your Fear of Visiting the Dentist and Have a Stress-Free Experience
How to Overcome Your Fear of Visiting the Dentist Dental anxiety is a real condition [...]
How to Prevent Tooth Decay and Achieve a Healthy Smile
It is important to prevent tooth decay for overall health. The state of your oral [...]
Smiling with Confidence: The Complete Guide to Invisalign
A radiant smile has the power to transform not only your appearance but also your [...]
Demystifying Root Canals: A Comprehensive Guide to Dental Health
Demystifying Root Canals The term “root canal” often sends shivers down the spines of dental [...]
Crowning Glory: Carolina Dental Arts Unveils the Artistry of Dental Crowns & Caps
Dental Crowns & Caps In the realm of dental care, where precision meets artistry, Carolina Dental [...]
Illuminate Your Smile: The Art of Teeth Whitening
The Art of Teeth Whitening with Carolina Dental Arts A radiant smile can be a [...]
Carolina Dental Arts: Crafting Healthy, Beautiful Smiles with Precision and Care
Carolina Dental Arts: Crafting Healthy, Beautiful Smiles with Precision and Care In the heart of [...]
Silent Threat: Unveiling the Dangers of Periodontal Disease
Dangers of Periodontal Disease While a bright smile is often considered a sign of good [...]
The Power of a Smile: Elevating Confidence Through Dental Transformation
Elevating Confidence Through Dental Transformation They say a smile is the universal language of kindness, [...]
Preserving Smiles: The Role of Sealants in Preventing Tooth Decay
The Role of Sealants in Preventing Tooth Decay Maintaining optimal oral health is a cornerstone [...]
Comprehensive Dentistry for Students Studying at NCU and Duke University
At Carolina Dental Arts, we take pride in offering affordable, accessible, and amazing dental care [...]
The Gateway to Health: Exploring the Mouth-Body Connection
Exploring the Mouth-Body Connection Your mouth is more than just a tool for communication and [...]
Unveiling the Importance of Regular Dental Exams
Importance of Regular Dental Exams While a dazzling smile is often the immediate benefit of [...]
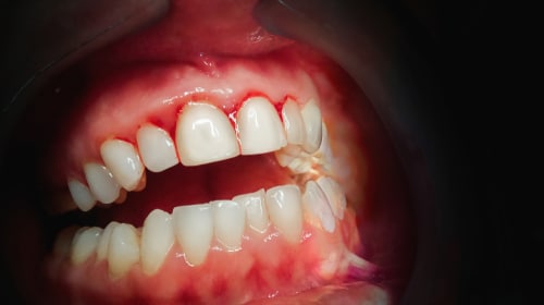
What Causes Gums to Bleed?
The Causes of Bleeding Gums Our oral health is a reflection of our overall well-being, and [...]
Unveiling the Wonders of Dental Bonding
Wonders of Dental Bonding When it comes to achieving that picture-perfect smile, dental procedures offer [...]
Restorative Dentistry: Reviving Smiles and Renewing Confidence
Restorative Dentistry In the realm of dentistry, the term “restorative” holds a profound promise—the promise [...]
Oral Health: The Most Common Dental Dilemmas
Oral Health: The Most Common Dental Issues Maintaining optimal oral health is a cornerstone of [...]
Invisalign: A Journey to Straighter Teeth
A radiant smile is not only a confidence booster but also a reflection of overall [...]
What are the Causes of Teeth Stains
Causes of Teeth Stains A bright and healthy smile is often considered a symbol of [...]
What Is The Grace Period For FSA For Dental Treatments?
At Carolina Dental Arts, we understand that navigating the world of dental insurance and flexible spending [...]
How General Dentistry Enhances Overall Dental Health
General Dentistry and Overall Dental Health Maintaining optimal dental health is a cornerstone of overall [...]
How Dental Implants Restore Your Confidence
How Dental Implants Restore Confidence A smile is a universal language that communicates joy, confidence, [...]
What Constitutes A Dental Emergency? Recognizing Urgent Dental Issues
Dental emergencies can happen at any time and often when you least expect them. From [...]
Understanding Medicare Coverage: What Dental Services Are Covered?
In the complex landscape of healthcare coverage, understanding what services are covered by Medicare can [...]
Reducing Emergency Visits: The Role Of Dental Coverage In Medicare
Emergency dental visits can place a significant burden on the healthcare system. Many of these visits [...]
